Наркомания это болезнь, которая требует особого подхода к пациентам. Я не психиатр-нарколог, поэтому не буду углубляться в тонкости развития зависимостей. По неизвестной для меня причине у меня на приеме значительно чаще, чем у моих коллег, появляются пациенты с употреблением психоактивных веществ в анамнезе, чаще всего на приеме я вижу сыпь от мефедрона. Поэтому мне пришлось в какой-то мере стать дерматологом-наркологом.
По данным проекта «Трезвая Россия» в 2023 году количество людей с пристрастием к ПАВ приближается к 6 млн, а это 3,5% от численности населения страны. Чаще всего на моем приеме я вижу пациентов употребляющих мефедрон, так как в наше время это один из самых доступных и популярных наркотиков, как когда-то был героин.
Мефедрон является синтетическим стимулирующим наркотиком. К нему очень быстро растёт толерантность: человек вынужден повышать дозу, чтобы получить прежний эффект. Побочных эффектов очень много, часть из них может быть обусловлена низкой чистотой препарата при кустарном синтезе, разбавлением препарата другими веществами для увеличения прибыли.
При употреблении запасы дофамина и серотонина в организме истощаются, человек впадает в депрессию, возникают психозы, бред, паранойя. Все это усугубляется общесоматическими нарушениями (высокое АД, аритмия и тахикардия, токсическое поражение почек и печени). На фоне вышеперечисленного пациенты могут начинать наносить себе увечья формируя артифициальный дерматит. Самоповреждение приносит им облегчение. Травмированная кожа легко инфицируется на фоне сниженного от употребления иммунитета, возникает пиодермия.
Мефедрон употребляют интраназально, что приводит к хроническому риниту. Постоянное отделяемое из носа травмируют кожу носогубного треугольника, присоединяется вторичная инфекция - пиодермия. Ниже фото высыпаний аналогичным тем, что возникают от мефедрона, которые я встречал на приеме.

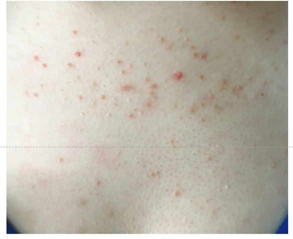
Предположу, что химические примеси в составе наркотика, могут вызывать акнеподобные высыпания воздействуя на сальные железы (например, галогены могут оказывать такой эффект). Ниже привожу пример высыпаний вызванных галогенами аналоигчных тем, что я видел на своем приеме. Фотографии взяты из публикацией в журналах.


Так же наркотические препараты могут приводить к появлению токсикодермических реакций, например в виде стойких синюшно-красных зудящих пятен в любой локализации, в моей практике неоднократно встречались высыпания на коже аногенитальной области. Это может быть ошибочно принято за аллергию на мефедрон. Подобные высыпания могут возникать и при применении обычных лекарственных препаратов, например НПВС. Зуд может иметь нейрогенную природу и вызываться поражением нервных окончаний. Пример высыпаний из медицинского журнала, аналогичных тем, что я видел на своем приеме.

Если речь идет о пациентах "на системе", когда употребление наркотика постоянно, то нарушается питание, возникают дефицитные состояния (например, анемия), что проявляется сильной сухостью кожи, зудом, хейлитом.
Употребления препарата снижает критику к себе и окружающей действительности, одновременно с этим усиливает сексуальное влечение, что приводит к случайным беспорядочным половым контактам. Как следствие инфицирование ИППП, в том числе ВИЧ и гепатитами В и С. При внутривенном употреблении возможны местные инъекционные реакции, как и от любых других наркотиков. На фотографиях ниже высыпания у мужчины с ВИЧ-инфекцией и гепатитом В, вторичным сифилисом, практикующего секс с мужчинами и химсекс после внутривенного введения мефедрона.

Иногда внутривенное введение может приводить некрозам тканей:


Лечение высыпаний от мефедрона требует контроля врачом дерматовенерологом. Если у вас появились высыпания на фоне употребления мефедрона и вы готовы анонимно поделиться фотографиями этих высыпаний, то напишите мне в Telegram, я постараюсь вам помочь и проведу бесплатную консультацию.
В лечении сыпи от мефедрона могут применяться местные противовоспалительные препараты, антибиотики, комбинированные препараты. Много зависит от клинической картины. В ряде случаев показана системный прием препаратов. Безусловно, основа лечения - отказ от употребления.